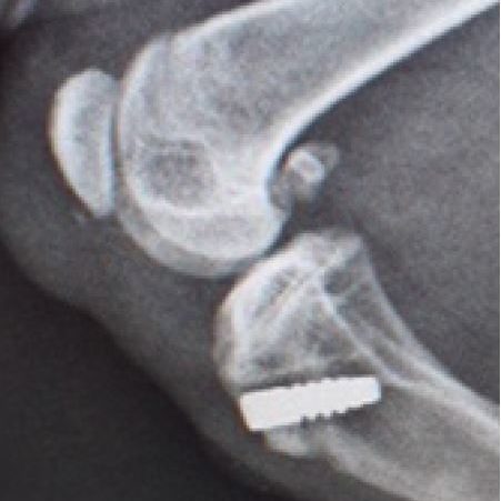
Patellar Tendon reconstruction Under Construction. Share this post Share on FacebookShare on Facebook TweetShare on Twitter Pin itShare on Pinterest Share on LinkedInShare on LinkedIn Share on WhatsAppShare on WhatsApp Project navigationPreviousPrevious project:CarpusNextNext project:Minimally invasive Extra-articular CCL Repair